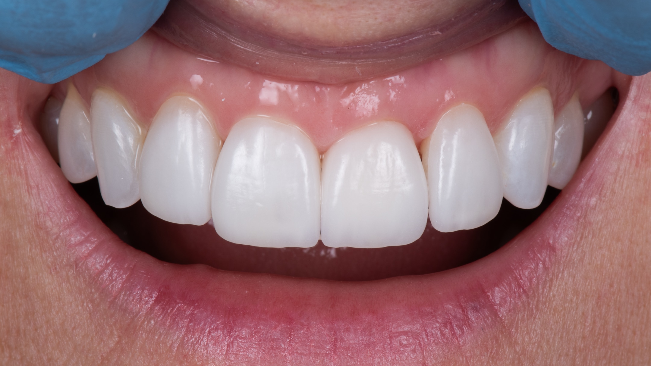
Our Gallery

Smile Gallery

There is a complex process of diagnosing, planning, teamwork, and execution to achieve the results you see in the final photos. Orthodontists, surgeons, and ceramists all working together for the patient. Every patient is unique, every plan is unique, and every result is tailor-made to meet the needs of each individual patient.

Smile Gallery

Our smile gallery is our way of giving you a behind-the-scenes view of how our patients get the natural smiles they come to us for.

One of the patients we have highlighted is a young guy, mid-20s, who didn’t like the spacing of his teeth. He also wanted to avoid orthodontics. We were able to achieve a great looking, natural smile, with a gum lift and minimally invasive veneers.

Another one of our patients shown here is a woman in her early 40s who’s previous dental work was breaking down. We were able to restore her smile by replacing the old dental work with new ceramics by a world-class ceramist. Her new smile gave her the confidence to smile again.

Another of our patients is a man in his mid 60s who needed his remaining teeth removed due to advanced gum disease. We were able (in coordination with our awesome oral surgeon) to replace his teeth with implants and a fixed prosthesis. He said his new smile, "...looks like my own teeth, but better.” This prosthesis is not removable, and he uses them like natural teeth.

Untitled-25

Case Study #1

Overview of Case: This wonderful patient was dissatisfied with the uneven edges and color of her upper teeth.  We always work with the end in mind. To this end, the design phase is critical. Our initial design lengthened the teeth at the edges, reversing the wear, and increased the height in some areas at the gumline, restoring the lost space due to shifting. The final result is very natural and fits the patient's smile and face well. We were so happy this patient trusted us to provide this care!

Case Study #2

Overview of Case: This wonderful patient came to us as a referral from a local oral surgeon. Her lower teeth were painful and mobile due to gum (periodontal) disease. We developed a plan that transitioned our patient from fixed appliances to her final hybrid. The final prosthetic consists of a high-performance polymer and individual crowns for maximum esthetic, fit, and feel. This entire process took about six months, and the patient was thrilled with the final result!

LowerHybrid
Split

Case Study #3

Overview of Case: This awesome patient presented to our office with spaces he wanted closed. Our initial diagnosis indicated the teeth were in an incorrect position and too small for this patient's smile. 9 months of Invisalign allowed us to move the teeth into a more ideal position, centering them in the future restorative space. Once the teeth were well positioned, minimal preparation veneers were placed to close the spaces while harmonizing with the existing smile.

Case Study #4

Overview of Case: This wonderful patient came to us displeased with the mismatched crowns she has had over the years and the wear on the lower teeth. The following photos show the protocol we went through to achieve a new smile.

DSC1454
DSC2182

Case Study #5

Overview of Case: This wonderful patient wanted to improve the appearance of the chipping and wear on her front teeth. The following photos show the protocol we went through to achieve a new smile.

Case Study #6

Overview of Case: The patient in this case wanted to improve the color of his teeth and close gaps between them. A mock-up was created to determine the feasibility of achieving the desired aesthetic result with veneers. The design required a "gum lift" on the left side, and a guide was used to replicate the design from the mock-up. The teeth were then minimally prepared for veneers to avoid a bulky, artificial appearance. Temporary veneers were placed immediately after the gum lift, and the final veneers were bonded in pairs for the best results. The final veneers resulted in a harmonious smile with an excellent aesthetic outcome.

121
11-1-e1681759910360

Case Study #7

Overview of Case: In this case, a patient with visible spaces, discoloration, and uneven edges on their existing teeth sought to create a more harmonious smile. A design and mockup were used to visualize the final outcome before finalizing the plan. During the veneer preparation appointment, microscope precision was used for minimally invasive treatment. Attention to detail was crucial for well-fitting restorations. Accurate impressions were critical for the lab to return the best results. The final porcelain work was created by the lab, with the best ceramists able to create natural-appearing restorations that fluoresced like natural teeth. Upon delivery of the veneers, precision of fit was confirmed for longevity. Finally, the veneers were bonded in place to create a harmonious and natural smile.

Case Study #8

Overview of Case: The patient had older crowns that were failing, and new cavities were found around the edges of the crowns–along with breaking down of the crowns themselves. The previous crowns were likely made of poor-quality materials. The dental team decided to perform a full mouth rehabilitation to fix the issues with the patient's teeth. During the procedure, a rubber dam was used to control the amount of water used and to prevent the patient from swallowing any old crowns or fillings. The ¾ crowns on the lower teeth were delivered using a rubber dam to ensure the best possible bond and longevity of the restorations. The gum tissue was slightly irritated immediately after the removal of the rubber dam, but it healed within 2-3 days with no need for pain medication. The final result was a rejuvenated smile with excellent function and esthetics.

13-2
6

Case Study #9

Overview of Case: This patient was referred by her orthodontist to complete esthetic work following Invisalign. The final outcome is a bright, natural smile.

Case Study #10

Overview of Case: This patient had many pre-existing crowns and fillings that were breaking down, and she did not like her smile. The new crowns allowed for a perfect bite and esthetics.

8
6

Case Study #11

Overview of Case: This young patient did not like how short his front teeth appeared. Grinding had resulted in wear, shortening the teeth. The final result is a harmonious, bright, natural smile.

Case Study #12

Overview of Case: This patient presented to us with veneers that were only two years old, which continued to “pop off.” The final result is a much more esthetic, natural outcome. Most importantly, these veneers have not come off!

6
5

Case Study #13

Overview of Case: This patient presented to us after a significant trauma, which fractured his upper jaw, and he lost several teeth. The resulting prosthetics created a natural, harmonious smile.

Case Study #14

Overview of Case: This young patient was displeased with her old, metal-based bridge and the uneven appearance of her front teeth. The final results were an extremely natural, bright smile.

5
5

Case Study #15

Overview of Case: This patient wanted to reverse her years of wear, which had shortened her front teeth. The final porcelain work blends seamlessly into her smile.

Case Study #16

Overview of Case: This patient did not like her smile; however, no dentist was able to give her a plan. She had an extra tooth, small teeth, and crowding.

4

Your smile is a reflection of your personality.

Call capital
dental design
Today.

804.320.8894

Inquire Today

We Create Confident Smiles

At Capital Dental Design, we help you smile with confidence.