Case Study #9

Overview of Case: This patient was referred by her orthodontist to complete esthetic work following Invisalign. The final outcome is a bright, natural smile.

Step 1

This patient was referred by her orthodontist to complete esthetic work following Invisalign.

2

Step 2

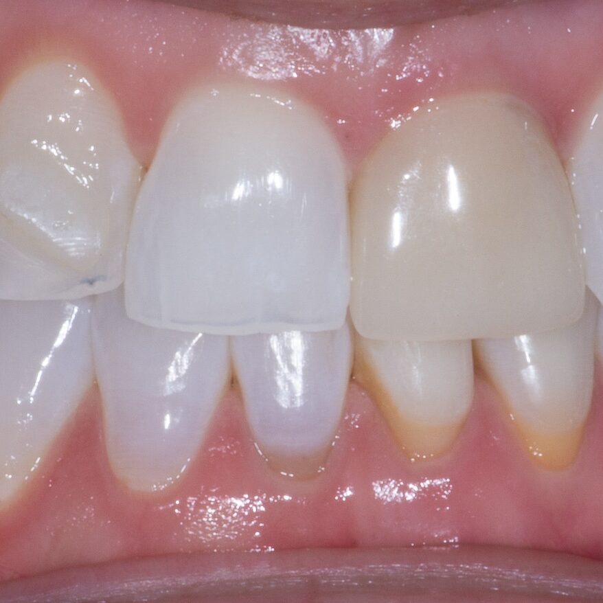
A previous crown had poor shape and shade, and the other three front teeth had wear.

Step 3

After discussion, we decided to replace the crown and use three minimally invasive veneers to achieve an ideal outcome.

Your smile is a reflection of your personality. Call capital dental design Today.

804.320.8894

Step 4

After three weeks in temporaries, the veneers and crown were tried in to confirm fit and esthetics.

Step 5

The highest levels of isolation and bonding were used to ensure the porcelain in seamlessly integrated with the teeth.

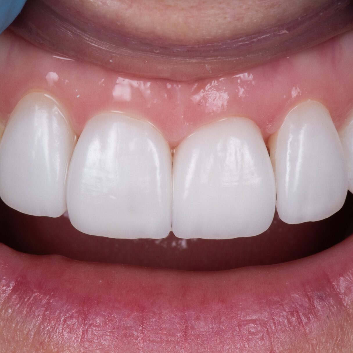
Step 6

The final outcome is a bright, natural smile.

Contact our practice

our contact details

Call Us804.320.8894

Opening HoursMon-Thu 9am-5pm

Follow Us On

footer-logo

Dentist Richmond, VA • © 2026 Capital Dental Design • All Rights Reserved