Case Study #10

Overview of Case: This patient had many pre-existing crowns and fillings that were breaking down, and she did not like her smile. The new crowns allowed for a perfect bite and esthetics.

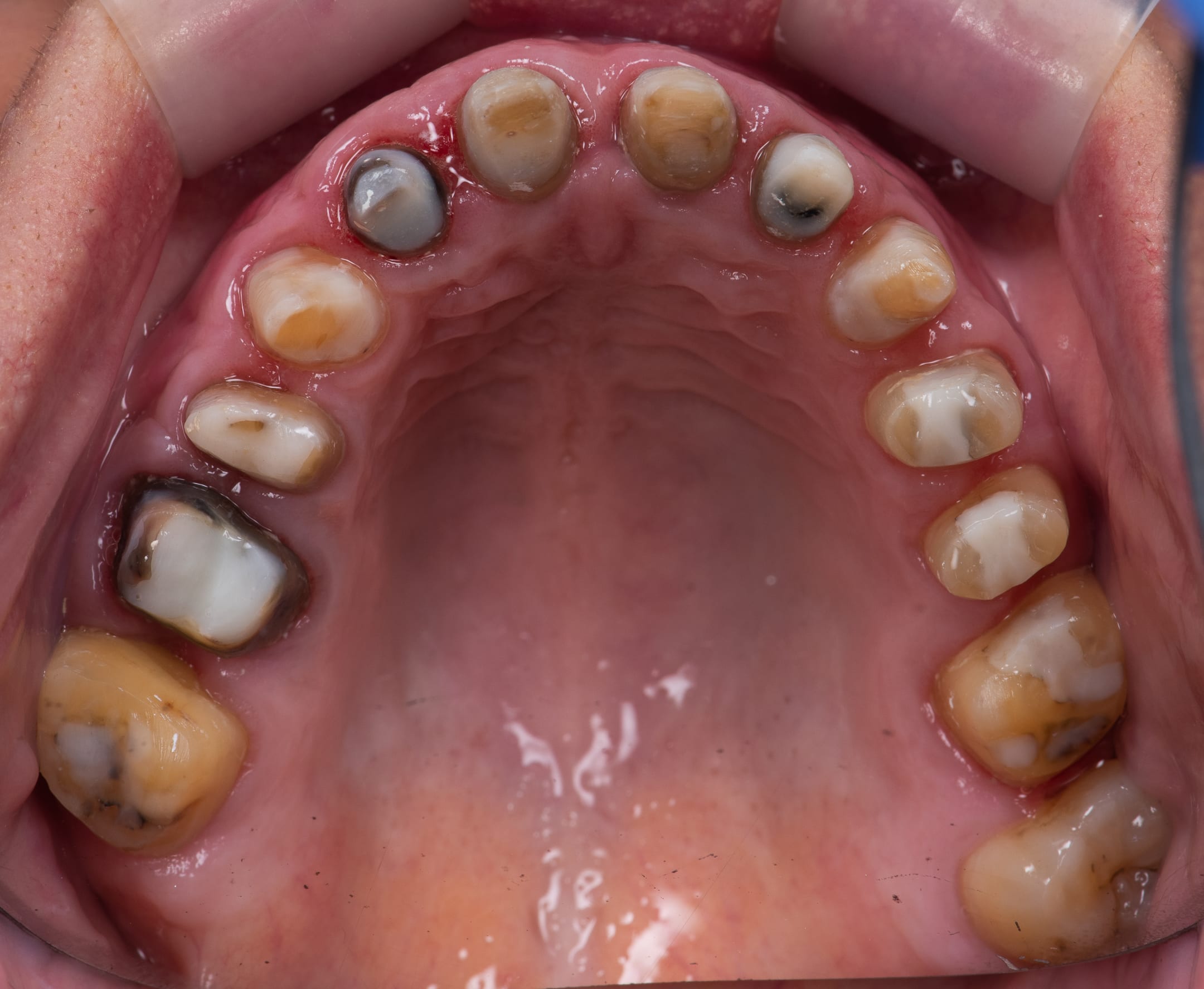
Step 1

This patient had many pre-existing crowns and fillings that were breaking down, and she did not like her smile.

2

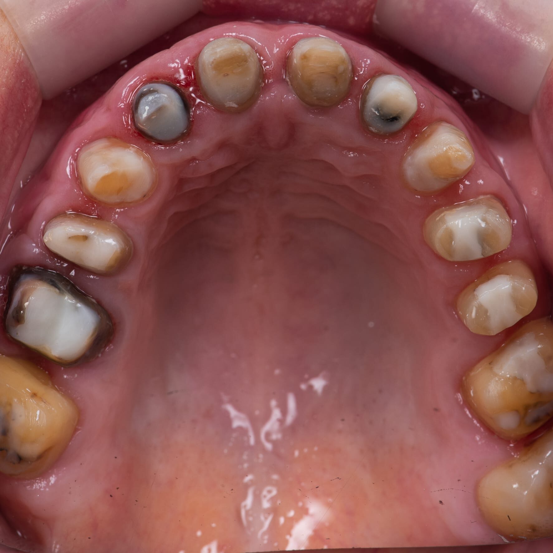
Step 2

The previous crowns had poor margins and new cavities.

Step 3

This extremely advanced treatment required deconstruction of the existing dental work to remove infection, repositioning of the gum margins to a healthier, more esthetic position, and the use of a novel crown preparation technique to preserve tooth structure.

Your smile is a reflection of your personality. Call capital dental design Today.

804.320.8894

Step 7

And...

Step 8

The final outcome before the new crowns were placed was healthy teeth in which almost all remaining tooth structure was preserved, and healthy gums in ideal esthetic positions.

Step 4

The new crowns allowed for a perfect bite and esthetics.

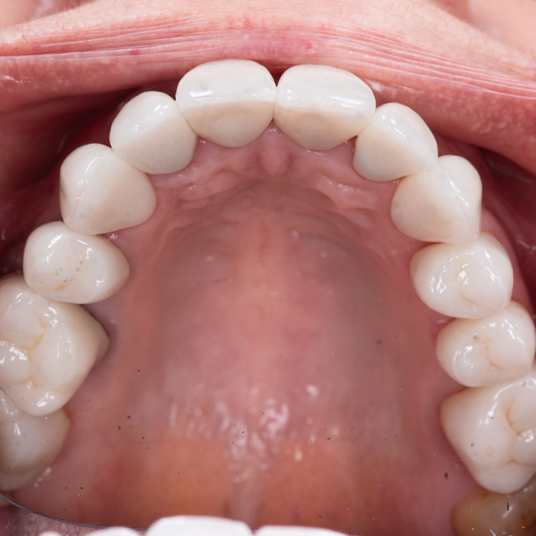
Step 5

The final smile with healthy gum tissues.

Step 6

A natural, bright smile.

Contact our practice

our contact details

Call Us804.320.8894

Opening HoursMon-Thu 9am-5pm

Follow Us On

footer-logo

Dentist Richmond, VA • © 2026 Capital Dental Design • All Rights Reserved