Case Study #15

Overview of Case: This patient wanted to reverse her years of wear, which had shortened her front teeth. The final porcelain work blends seamlessly into her smile.

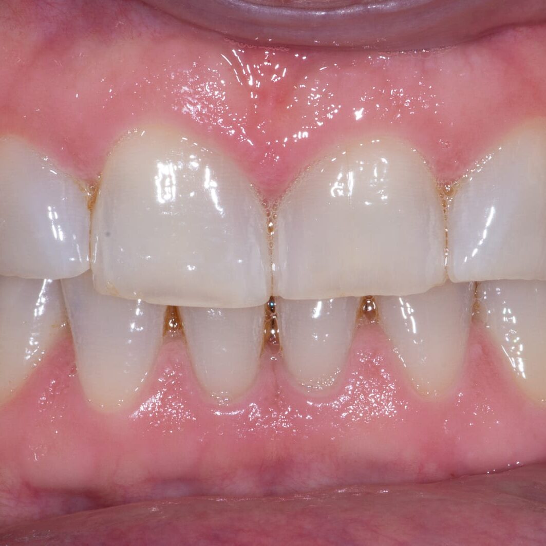
Step 1

This patient wanted to reverse her years of wear, which had shortened her front teeth.

2

Step 2

The years of wear created a short appearance of her front teeth that were not visible when she smiled.

Step 3

Coordination with an orthodontist was required to move the teeth “back” to where they were before the wear. This allowed the veneers to be minimally invasive, only restoring the missing tooth structure.

Your smile is a reflection of your personality. Call capital dental design Today.

804.320.8894

Step 4

The final porcelain work blends seamlessly into her smile.

Step 5

A natural smile for a patient who did not want her smile to look “done.”

Contact our practice

our contact details

Call Us804.320.8894

Opening HoursMon-Thu 9am-5pm

Follow Us On

footer-logo

Dentist Richmond, VA • © 2026 Capital Dental Design • All Rights Reserved