Case Study #16

Overview of Case: This patient did not like her smile; however, no dentist was able to give her a plan. She had an extra tooth, small teeth, and crowding. The final smile is natural and “fits” the patient’s face.

Step 1

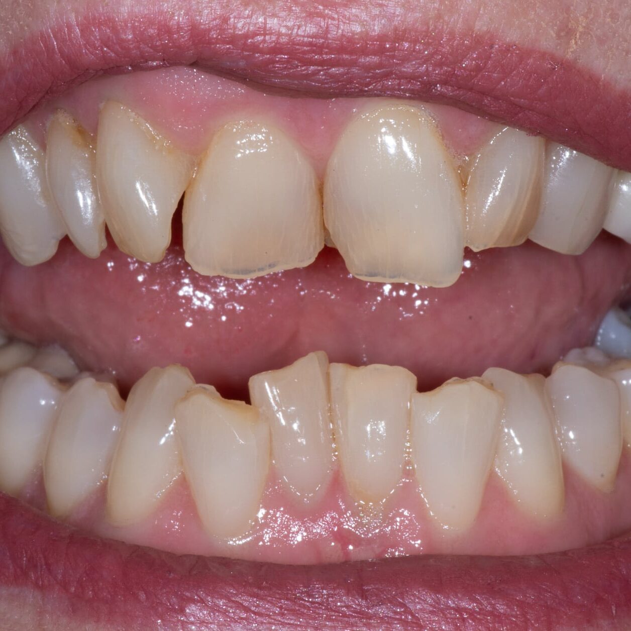
This patient did not like her smile; however, no dentist was able to give her a plan. She had an extra tooth, small teeth, and crowding.

2

Step 2

This interdisciplinary case required orthodontics and a process called surgically facilitated orthodontic therapy to allow for faster tooth movement while creating better bone and gum tissue around the teeth. The final orthodontic result placed the teeth in the ideal position.

Step 3

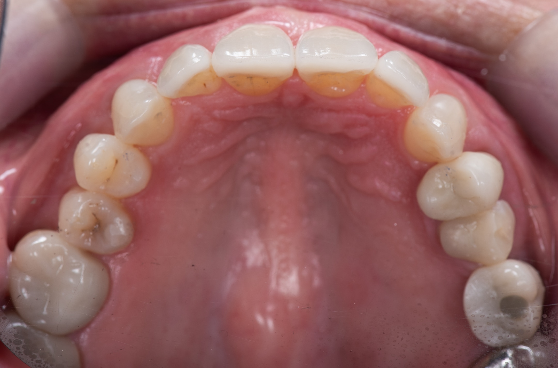
With the teeth in the ideal position, veneers were used to create the correct shapes and sizes for the teeth.

Your smile is a reflection of your personality. Call capital dental design Today.

804.320.8894

Step 4

The final smile is natural and “fits” the patient’s face.

Contact our practice

our contact details

Call Us804.320.8894

Opening HoursMon-Thu 9am-5pm

Follow Us On

footer-logo

Dentist Richmond, VA • © 2026 Capital Dental Design • All Rights Reserved