Case Study #14

Overview of Case: This young patient was displeased with her old, metal-based bridge and the uneven appearance of her front teeth. The final results were an extremely natural, bright smile.

Step 1

This young patient was displeased with her old, metal-based bridge and the uneven appearance of her front teeth.

2

Step 2

Previous orthodontics had left uneven spacing between the front teeth, and the metal was visible under the edge of her teeth.

Step 3

Our plan of five, minimally invasive veneers, with a porcelain Maryland bridge, allowed for a minimally invasive, maximally esthetic restoration for a young patient.

Your smile is a reflection of your personality. Call capital dental design Today.

804.320.8894

Step 4

And...

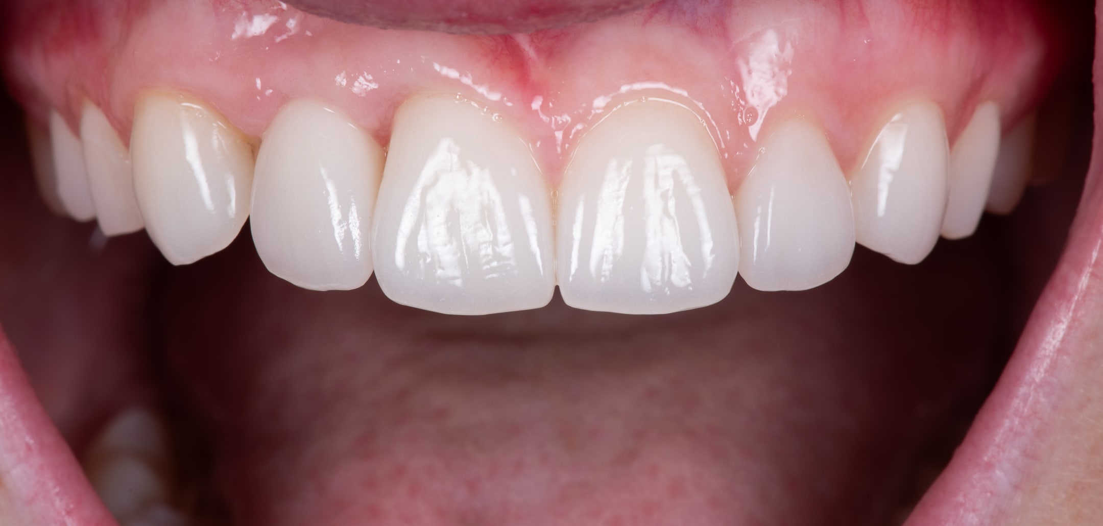
Step 5

The final results were an extremely natural, bright smile.

Contact our practice

our contact details

Call Us804.320.8894

Opening HoursMon-Thu 9am-5pm

Follow Us On

footer-logo

Dentist Richmond, VA • © 2026 Capital Dental Design • All Rights Reserved