Case Study #13

Overview of Case: This patient presented to us after a significant trauma, which fractured his upper jaw, and he lost several teeth. The resulting prosthetics created a natural, harmonious smile.

Step 1

This patient presented to us after a significant trauma, which fractured his upper jaw, and he lost several teeth.

2

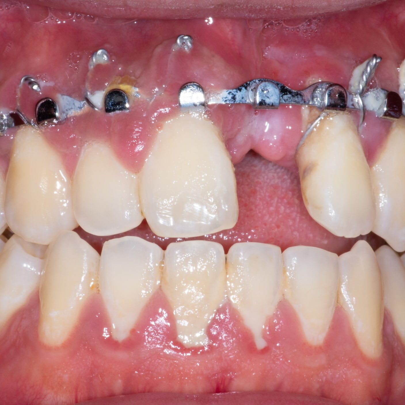
Step 2

The oral surgeon had stabilized the jaw fracture. The resulting bite, however, was unstable and required orthodontics prior to reconstruction of the defect.

Step 3

The multidisciplinary team completed orthodontics, bone augmentation, and implant placement.

Your smile is a reflection of your personality. Call capital dental design Today.

804.320.8894

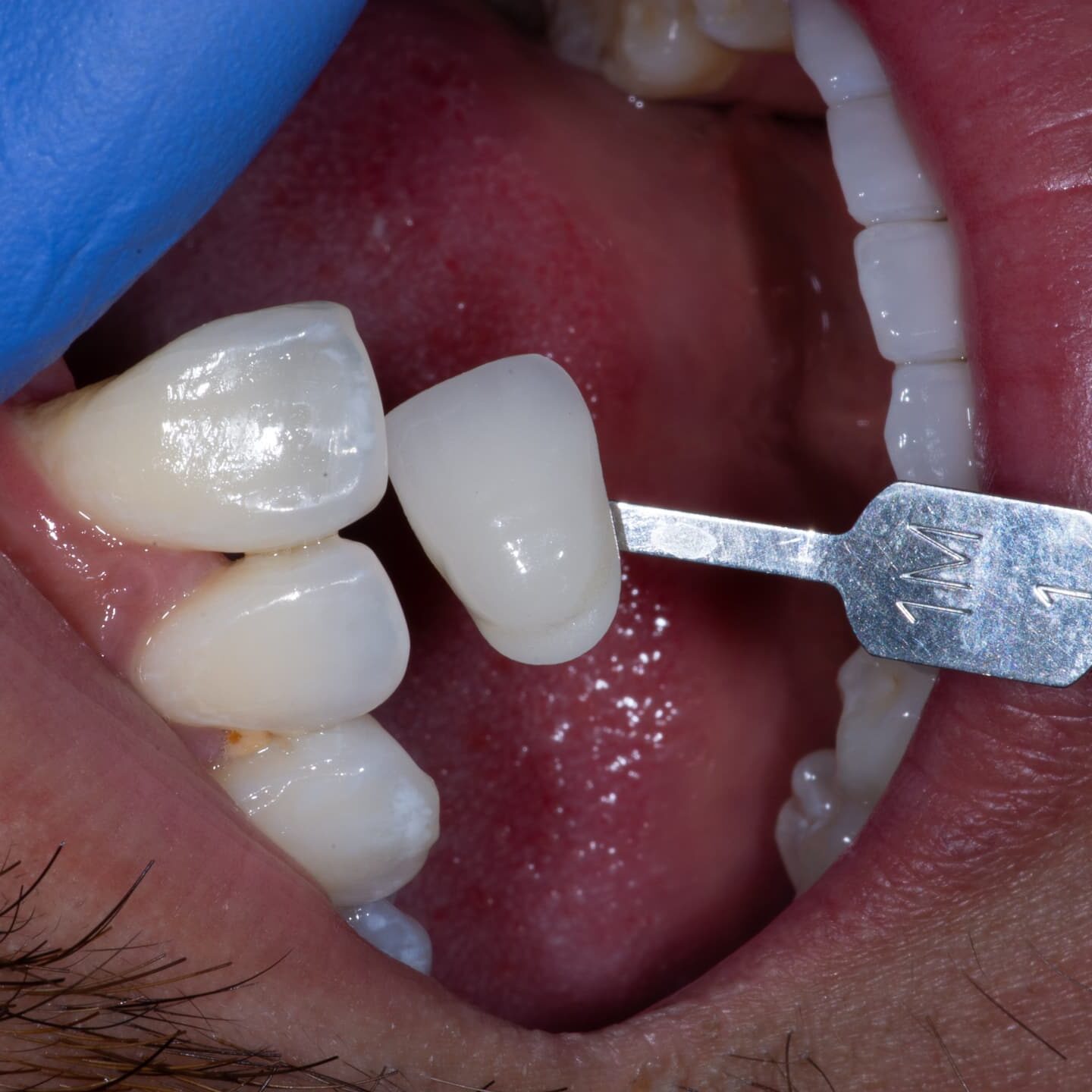
Step 4

The prosthetic of crowns and replacement gum-shaded porcelain required significant photo documentation to communicate with the ceramist.

Step 5

The resulting prosthetics created a natural, harmonious smile.

Contact our practice

our contact details

Call Us804.320.8894

Opening HoursMon-Thu 9am-5pm

Follow Us On

footer-logo

Dentist Richmond, VA • © 2026 Capital Dental Design • All Rights Reserved