Case Study #12

Overview of Case: This patient presented to us with veneers that were only two years old, which continued to “pop off.” The final result is a much more esthetic, natural outcome. Most importantly, these veneers have not come off!

Step 1

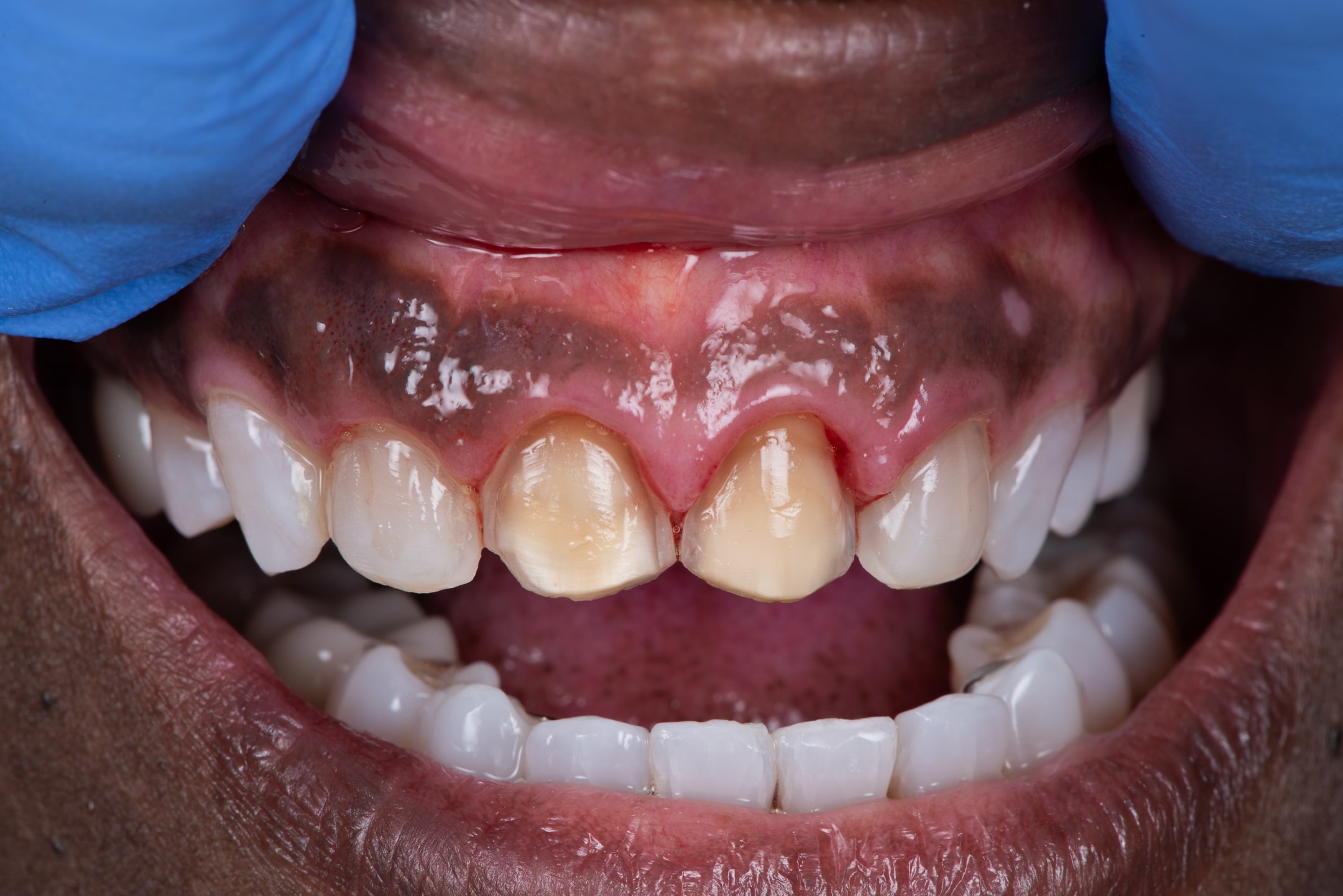
This patient presented to us with veneers that were only two years old, which continued to “pop off.”

2

Step 2

The teeth had been aggressively prepared for the four veneers.

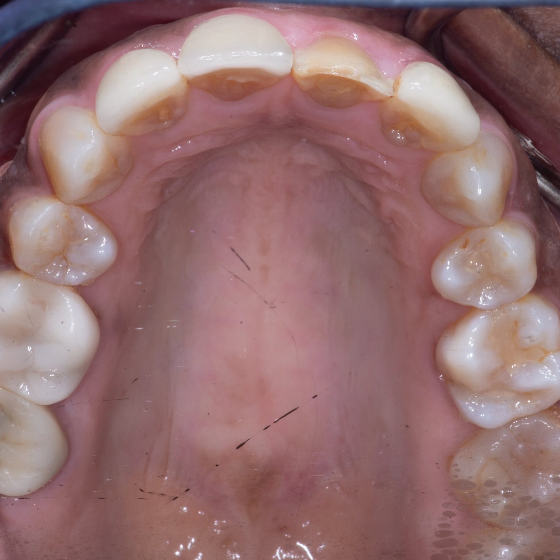
Step 3

When the remaining veneers were removed, we were able to see just how much tooth structure had been removed to place the initial veneers.

Your smile is a reflection of your personality. Call capital dental design Today.

804.320.8894

Step 4

A shade was taken using special filters to ensure the ceramist has all the information they need to create life-like veneers.

Step 5

As always, bonding under a rubber dam ensures the best possible bond of veneer to tooth.

Step 6

The final result is a much more esthetic, natural outcome. Most importantly, these veneers have not come off!

Contact our practice

our contact details

Call Us804.320.8894

Opening HoursMon-Thu 9am-5pm

Follow Us On

footer-logo

Dentist Richmond, VA • © 2026 Capital Dental Design • All Rights Reserved